Skip Menu
Continue
3737 Moraga Avenue, Suite B-206, San Diego, CA 92117
(858) 273-0700
Connect with Us:
Logo Invisalign Provider
Invisalign Provider
  • Home
  • About Us
    • Our Office
    • New Patients
    • Financing
    • Smile Gallery
    • Dental Videos
    • Testimonials
  • Our Doctor
    • Erika Kullberg, DMD
  • Our Team
  • Services
      • BioClear®
      • Crowns & Caps
      • Dental Bridges
      • Dentures
      • Digital Radiography
      • Emergency Treatment
      • Extractions
      • Implant Dentistry
      • Invisalign®
      • iTero®
      • Laser Dentistry
      • Night Guards
      • Oral Cancer Screening
      • Oral Exams
      • Orthodontics
      • Pediatric Dentistry
      • Perio Protect®
      • Periodontal Treatment
      • Preventive Program
      • Sedation Dentistry
      • Sports Mouthguards
      • Teeth Whitening
      • TMJ Disorders
      • Veneers
    • View All
  • Dental Health
  • (858) 273-0700
  • Contact
    • Contact Us
  • Schedule Now

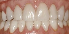
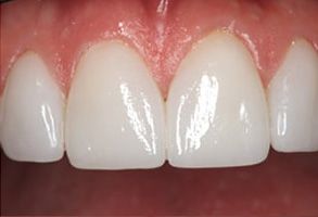
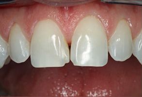
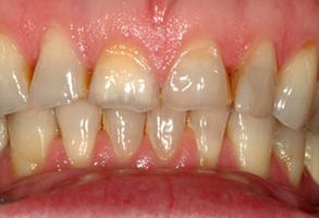
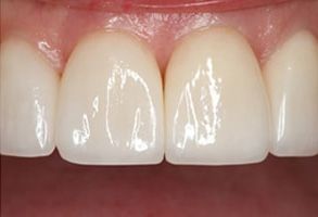
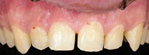
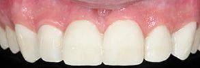
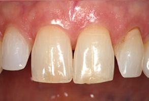
Smile Gallery

Additional Information

Our Location

3737 Moraga Avenue
Suite B-206
San Diego, CA 92117
(858) 273-0700

Follow Us

Personalized Care

From Experienced Dentists

LEARN MORE

Visit

Our Office

PHONE:
(858) 273-0700

ADDRESS:
3737 Moraga Avenue,
Suite B-206,
San Diego, CA 92117

"fab fa-facebook-f""fab fa-instagram""fab fa-google""fas fa-rss"

Monday: 9:00 am - 5:00 pm

Tuesday: 9:00 am - 5:00 pm

Wednesday: 9:00 am - 5:00 pm

Thursday: 9:00 am - 5:00 pm

Your Wellness is Our Top Priority

Make an Appointment Today

Schedule an Appointment